西门子Definition型CT机球管故障导致伪影的维修案例

在医疗影像设备的日常运行中,各类伪影的出现往往会给临床诊断带来困扰。近期,我们接到某医院关于西门子Definition型CT机设备的报修,该设备在扫描过程中出现了两种偶发伪影,严重影响了诊断准确性。经过一系列细致的检查与分析,我们成功定位并解决了问题,现将此次维修过程整理如下。

一、故障现象

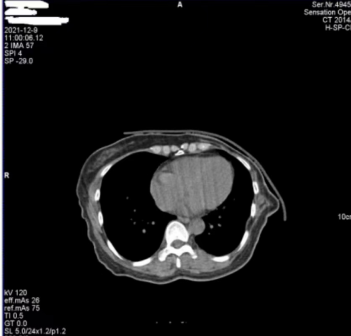
医院反映,西门子Definition型CT机在进行患者扫描时,图像上会偶发两种伪影。一种是斜线状伪影(图 1),另一种是中心不规则高密度伪影(图 2)。其中,斜线状伪影对诊断影响较大,时常导致医生无法准确判断患者病灶情况,医院希望我们尽快排查并解决问题。

图1

图2

二、现场检查与分析

接到报修后,我们立即组织维修人员赶赴现场。到达现场后,我们首先向操作医师详细了解了伪影出现的频率、规律以及具体表现,随后调取了相关的扫描图像和设备运行日志,展开了全面的检查分析工作。

对于图 1 中的斜线状伪影,我们第一时间查看了设备的错误日志和球管历史记录,然而并未发现球管存在打火情况的相关信息。但仔细观察图 1 中的 S35C0,结合我们多年的维修经验,这一参数特征明确指向在当时的扫描曝光时刻,球管存在打火现象。球管打火会直接干扰射线的稳定输出,进而在图像上形成这种斜线状伪影,这也解释了为何该伪影会对诊断造成较大影响。

接着,我们将目光转向图 2 中的中心不规则高密度伪影。为了找出伪影成因,我们对设备的多个关键部件进行了检查。首先查看了玻璃条、探测器表面以及准直器表面,确认这些部位是否沾有造影剂,因为造影剂残留有时会导致伪影产生,但检查结果显示这些部位均干净无污。

随后,我们检查了特氟龙滤线器部件。特氟龙部件采用金属材质,具有较高的稳定性,通常不会出现断裂等情况,因此可以排除因特氟龙部件异常导致伪影的可能。考虑到这种中心伪影是偶发出现的,我们开始推测其他可能性。结合球管的结构和工作原理,我们怀疑是球管内部存在杂物。球管内部有油路循环系统,若有杂物混入其中,在曝光过程中,当杂物恰好处于出射线的位置时,就会对射线产生干扰,从而在图像中心形成不规则的高密度伪影。

三、解决方案

综合以上分析,图 1 中的斜线状伪影由球管打火引起,且已严重影响诊断;图 2 中的中心伪影虽成因未完全确定,但推测与球管内部杂物有关。鉴于球管打火问题的严重性以及两种伪影可能存在的关联性,我们判断需要更换球管来彻底解决问题。

在与医院沟通并获得同意后,我们按照规范流程为该西门子Definition型CT机设备更换了新的球管。更换完成后,我们进行了多次扫描测试,结果显示,之前出现的两种伪影均未再出现,设备扫描图像恢复清晰、稳定,完全满足临床诊断需求。

四、结论

此次维修案例中,更换球管后两种伪影均消失的结果,不仅证实了图 1 中斜线状伪影由球管打火导致的判断,也验证了我们对图 2 中心伪影成因的推测是正确的,即球管内部杂物在油路循环过程中,于曝光时处于出射线位置而造成了中心伪影。

这一案例再次表明,在医疗设备维修工作中,对于偶发故障和复杂伪影,需要结合设备结构原理、参数特征以及丰富的实践经验进行综合分析推理,才能准确找到故障根源,制定有效的解决方案,保障医疗设备的正常运行,为临床诊断提供可靠的影像支持。

1130219820.jpg

高压油箱维修


◆快速:维修周期一个工作日

◆可靠:修复完毕后,上机反复测试

◆专业:出厂时出具维修检测报告


联系电话:400-668-2958


我知道了
联络与沟通
  • 联系电话
    400-668-2958
  • 地址
    广州市花都区迎宾大道179号4栋1118房
返回顶部